Prenos vírusu klasického moru ošípaných u spolubývajúcich prasiatok s rôznymi stavmi imunity po oslabenej živej vakcíne
Nov 28, 2023
Jednoduché zhrnutie:
Klasický mor ošípaných je vysoko nebezpečný patogén postihujúci domáce ošípané. Očkovanie modifikovanou živou vakcínou je rozhodujúce pre prevenciu a kontrolu klasického moru ošípaných. Avšak mnohé faktory, ako napríklad materské protilátky prostredníctvom kolostra, by mohli interferovať s účinnosťou živej vakcíny, čo by viedlo k neúplnej ochrane v komerčných stádach. V tejto štúdii sme skúmali prenos vírusu klasického moru ošípaných u experimentálnych prasiatok s rôznymi postvakcinačnými imunitnými stavmi. Prasiatko bez špecifického patogénu infikované vírusom klasického moru ošípaných slúžilo ako vírusový darca a primárny útočník a žilo spolu s prasiatkami s materskými protilátkami, ktoré boli alebo neboli očkované. Podľa výsledkov väčšina prasiatok s materskými protilátkami, ktoré boli očkované, bola plne chránená pred kontaktným prenosom od darcu vírusu a blokovaný prenos vírusu na tretiu stranu (tie prasiatka sekundárne exponované prostredníctvom spolužitia). Bunkami sprostredkovaná imunita, reprezentovaná špecifickými bunkami vylučujúcimi interferón- -, slúžila ako kľúč k odstráneniu vírusu a zotaveniu. Naopak, nevakcinované prasiatka s nízkymi hladinami materských protilátok urýchlili infekciu vírusom klasického moru ošípaných po vírusovej invázii. Záverom možno povedať, že vakcinácia stále indukuje solídnu imunitu v komerčných stádach pri interferencii s materskými protilátkami a môže blokovať prenos vírusu v stádach.

cistanche rastlina zvyšujúca imunitný systém
Abstrakt:
Klasický mor ošípaných (CSF) je systémové hemoragické ochorenie postihujúce domáce ošípané a diviaky. Modifikovaná živá vakcína (MLV) vyvoláva rýchlu a solídnu ochranu proti infekcii vírusom CSF (CSFV). Materské protilátky (MDA) prostredníctvom kolostra by mohli interferovať s účinnosťou MLV, čo by viedlo k neúplnej ochrane pred infekciou CSFV u ošípaných. Táto štúdia skúmala prenos CSFV medzi experimentálnymi prasiatkami s rôznymi post-MLV imunitnými stavmi. Devätnásť prasiatok, 18 s MDA a 1 prasiatko bez špecifického patogénu infikované CSFV, ktoré slúžilo ako darca CSFV, žilo spolu s prasiatkami, ktorým bola alebo nebola podaná MLV. Päť šestin prasiatok s MDA, ktorým bola podaná jedna dávka MLV, bolo plne chránených pred kontaktným prenosom od darcu CSFV a neprenášali CSFV na prasiatka sekundárne vystavené spolužitiu. Imunita sprostredkovaná bunkami, reprezentovaná bunkami vylučujúcimi interferón- - špecifický proti CSFV, bola kľúčom k odstráneniu vírusu a zotaveniu. Po kohabitácii s darcom CSFV nevakcinované prasiatka s nízkymi hladinami MDA vykazovali infekciu CSFV a šírili CSFV na ďalšie prasiatka kontaktom; tí s vysokými hladinami MDA sa zotavili, ale pôsobili ako asymptomatickí nosiči. Záverom, MLV stále indukuje solídnu imunitu v komerčných stádach pri interferencii MDA a blokuje prenos CSFV v týchto stádach.
Kľúčové slová:
klasický mor ošípaných; modifikovaná živá vakcína; materská protilátka; prenos
1. Úvod
Klasický mor ošípaných (CSF) je cezhraničné, vysoko nákazlivé, hemoragické ochorenie, ktoré postihuje domáce ošípané a diviaky a je spôsobené vírusom klasického moru ošípaných (CSFV) [1,2]. CSF je choroba podliehajúca hláseniu podľa Svetovej organizácie pre zdravie zvierat (WOAH) a CSF je stále endemickou chorobou v Ázii, Južnej Amerike, Strednej Amerike a Karibiku. Len severoamerické, oceánske a západoeurópske krajiny úspešne eradikovali CSF [3–6].
CSFV je obalený jednokmeňový RNA víruspestivírusrod z čeľade Flaviviridae, ktorý zahŕňa aj vírus bovinnej vírusovej hnačky a vírus hraničnej choroby [1,2]. Vírusový genóm obsahuje približne 12,3 kb a kóduje 3898 aminokyselín polyproteínu, ktoré sa neskôr spracujú na štyri štrukturálne (C, Erns, El a E2) a osem neštrukturálnych (Npro, p7, NS2, NS3, NS4A, NS4B, NS5A, a NS5B) proteíny vírusovými a bunkovými proteázami [7]. Na základe sekvencií E2 alebo NS5B sa CSFV klasifikuje do troch genotypov s tromi alebo štyrmi podtypmi (1.1, 1.2, 1.3; 2.1, 2.2, 2.3; 3.1, 3.2, 3.3, 3.4) [8]. V závislosti od virulencie CSFV a faktorov ošípaných vrátane veku, plemena, zdravotného stavu a imunitného stavu môžu ošípané infikované CSFV vykazovať akútne, subakútne alebo chronické klinické príznaky [9–11]. Ošípané infikované vysokovirulentným CSFV vykazujú akútnu horúčku a závažné hemoragické lézie a vylučujú vysokú vírusovú záťaž vo svojich výkaloch, slinách a sekrétoch počas krátkych dní prežitia. Naproti tomu ošípané infikované CSFV so strednou a nízkou virulenciou vykazujú subakútne a chronické klinické príznaky a miernejšie lézie a vylučujú stredne nízke až nízke hladiny CSFV vo svojich výkaloch, slinách a sekrétoch počas ich relatívne dlhších dní prežitia [12,13 ]. V teréne môžu primárne infikované ošípané zohrávať významnú úlohu v sekundárnom prenose CSFV na iné ošípané s premenlivou imunitou voči CSFV. Prenos CSFV so strednou a vysokou virulenciou je vyšší ako u CSFV s nízkou virulenciou [12,13].
Očkovanie je kľúčové pre prevenciu a kontrolu CSF v endemických krajinách. Modifikovaná živá vakcína (MLV) je vysoko účinná, bezpečná a cenovo dostupná vakcína, ktorá je najrozšírenejšia medzi komerčnými stádami. MLV môže rýchlo vyvolať imunitu a poskytnúť čiastočnú ochranu 3 dni po očkovaní a úplnú ochranu 5 dní po očkovaní [14–16]. Avšak mnohé faktory, vrátane zdravotného stavu ošípaných s kvalitou vakcíny a hladiny materských protilátok (MDA), môžu znížiť účinnosť MLV, čo vedie k neúplnej ochrane očkovaných ošípaných [14–16]. V endemických stádach CSF závisí načasovanie očkovania proti MLV od hladín MDA ošípaných; vysoké hladiny MDA interferujú s účinnosťou MLV a nízke hladiny MDA zvyšujú riziko infekcie prasiatok [17,18]. Preto formulácie vakcinačných programov MLV v stádach musia byť založené na poklesoch hladín MDA. Pravidelne implementovaný vakcinačný program proti CSF na Taiwane zahŕňa vakcináciu gravidných prasníc, aby sa novorodencom poskytli MDA prostredníctvom ich mledziva, a potom podanie prvej dávky MLV prasiatkam vo veku 3–12 týždňov. Podľa sledovania na Taiwane sú priemerné titre anti-CSFV neutralizujúcich protilátok (NA) MDA u prasiatok v čase ich prvej vakcinácie proti MLV vyššie ako 1:32 [19], čo by mohlo zhoršiť účinnosť MLV a viesť k rôznym stavy imunity v stádach. Táto štúdia opisuje experiment na zvieratách na skúmanie schopnosti MLV chrániť prasiatka s rôznymi hladinami MDA po spolužití s prasiatkom infikovaným CSFV, ktoré pôsobilo ako darca CSFV (tj „primárny útočník“).
2. Materiály a metódy
2.1. Bunky a vírusy
Bunky bravčového cirkovírusového typu-1-bez prasacej obličky-15 (PK-15) boli kultivované v minimálnom esenciálnom médiu (Thermo Fisher Scientific, Carlsbad, CA, USA) s 5 % fetálnym hovädzím sérom (FBS) a inkubované pri 37 ◦C v 5 % CO2. Bunky PK-15 podporovali rozmnožovanie CSFV, vrátane kmeňa vakcíny Lapinized Philippines Coronel (LPC) genotypu 1.1 a kmeňa TD/96 genotypu 2.1. Vírusové titre kmeňov LPC a TD/96 boli 107,71 a 105,87 infekčná dávka pre tkanivové kultúry 50 % (TCID50).
2.2. Experimentálny dizajn
Celkový počet {{0}}týždňových prasiatok zahŕňajúcich 1 prasiatko bez špecifických patogénov (SPF) bez anti-CSFV NAs (skupina 1) a 18 zdravých prasiatok (skupiny 2–5) z vakcinovaných LPC v experimente boli použité prasnice stáda bez CSFV (obrázok 1). 18 zdravých prasiatok bolo náhodne rozdelených do štyroch skupín (skupiny 2–5); priemer titru anti-LPC NA (log2) medzi skupinami 2–5 bol 3,7 ± 2,2, 3,7 ± 2,3, 4,3 ± 2,2 a 4,3 ± 1,3 log2-násobok a významne sa nelíšili pri 0 dní po experimente (DPE). Prasiatko SPF (skupina 1) bolo ironicky naočkované pomocou kmeňa 5 x 105 TCID50 TD/96 v 7 DPE a slúžilo ako primárny útočník alebo darca CSFV, keď žilo v izbe 12 so skupinami 2 a 3 (obrázok 1). Na testovanie, či MDA znížili účinnosť MLV, bola skupina 2 (n=6) očkovaná jednou dávkou LPC vakcíny (viac ako 1 x 104 TCID50/dávka) pri 0 DPE. Na testovanie schopnosti ochrany MDA nebola skupina 3 (kontrola pre skupinu 2; n=3) vakcinovaná LPC vakcínou a tieto prasiatka teda vykazovali úpadok MDA po 7 dňoch od prvého kontaktu s primárnym útočníkom. Skupina 1 (primárny útočník) spolunažívala so skupinami 2 a 3 počas 10 dní (od 7 do 17 DPE). Skupina 2 bola potom premiestnená do miestnosti 2, aby slúžila ako sekundárni útočníci prostredníctvom spolužitia so skupinou 4 (n=6) od 17 do 36 DPE. Skupina 3 bola premiestnená do miestnosti 4, aby spolunažívala so skupinou 5 (n=3). Skupiny 4 a 5 boli teda prasiatka so 17-dňovým rozpadom MDA po prvom kontakte so sekundárnymi útočníkmi. Inštitucionálny výbor pre starostlivosť o zvieratá a používanie zvierat Výskumného ústavu zdravia zvierat schválil tento pokus na zvieratách (číslo schválenia A09007).

Obrázok 1. Experimentálny návrh.
Zvieratá boli denne monitorované na klinické príznaky a každý parameter bol hodnotený od 0 do 3, čo predstavuje normálne až ťažké, podľa Mittelholzerovej metódy [19]. Merala sa rektálna teplota a vzorky krvi, slín a stolice sa odoberali dvakrát týždenne až do 35 DPE. Vzorky sa analyzovali na zaťaženie CSFV a protilátky proti CSFV. Pitva bola vykonaná na 18 DPE pre skupinu 1, na 36 DPE pre skupiny 2 a 3 a na 39 DPE pre skupiny 4 a 5. Vzorky z prostredia (tj výtery z plota, výkaly na podlahe, kŕmny žľab, a pitná fontánka) boli tiež analyzované na CSFV.
2.3. Kvantitatívna reverzná transkripčná polymerázová reťazová reakcia v reálnom čase (QRRT-PCR) CSFV
Vírusové RNA zo vzoriek sa extrahovali pomocou súpravy QIAamp® Viral RNA Mini Kit (QIAGEN, Hilden, Nemecko) a detegovali sa pomocou kvantitatívnej reverznej transkripčnej polymerázovej reťazovej reakcie (QRRT-PCR) [20]. QRRT-PCR sa použila na detekciu rôznych genotypov a kvantitatívne testovanie záťaže CSFV vzoriek.

cistanche výhody pre mužov - posilnenie imunitného systému
Kliknite sem pre zobrazenie produktov Cistanche Enhance Immunity
【Požiadať o viac】 E-mail:cindy.xue@wecistanche.com / Whats App: 0086 18599088692 / Wechat: 18599088692
2.4. Anti-CSFV NA
Zahriatie séra prasiatok na 56 ◦C inaktivovaného komplementu umožnilo detekciu anti-LPC a TD/96 NA. Stručne povedané, 2-násobne sériovo zriedené vzorky séra, počínajúc pomerom 1:4, sa zmiešali s rovnakými objemami 100 TCID50 kmeňa LPC alebo TD/96. Zmesi sa inkubovali pri 37 °C počas 1 hodiny a následne sa preniesli do PK{11}} buniek v 96-jamkových doštičkách. Po inkubácii počas 3 dní boli bunky fixované a zafarbené na detekciu prítomnosti CSFV antigénu prostredníctvom nepriameho fluorescenčného testu. Neutralizačný titer protilátky je log2 riediaceho faktora protilátky (recipročná hodnota riedenia), keď je 50 % jamiek chránených pred infekciou.
2.5. CSFV-špecifický interferón (IFN)- -Vylučujúce bunky
Na vyhodnotenie anti-CSFV bunkami sprostredkovanej imunity (CMI) prasiatok sa uskutočnil ex vivo CSFV-špecifický IFN-reakčný test mononukleárnych buniek periférnej krvi (PBMC). PBMC z EDTA-antikoagulovanej krvi sa podrobili centrifugácii pri 400xg pomocou Histopaque-1077 (Sigma-Aldrich, St. Louis, MO, USA). PBMC boli suspendované v médiu RPMI 1640 (Thermo Fisher Scientific, Carlsbad, CA, USA) obsahujúcom 10 % (objem/objem) tepelne inaktivovaného FBS, 100 jednotiek/ml penicilínu G, 100 ug/ml streptomycínu a 0,25 ug/ ml amfotericínu B. Počet CSFV-špecifických IFN- - vylučujúcich PBMCs sa detegoval prasačím IFN-jednofarebným enzymatickým ELISPOT testom (CTL, Shaker Heights, OH, USA). Na 96-jamkových doštičkách boli PBMC v koncentrácii 5 x 106 buniek/ml pri 100 ul na jamku s prasačou IFN-záchytnou protilátkou pridelené falošnej skupine (naočkovanej médiom RPMI 1640), skupine TD/96 (infikovanej 0,1 MOI) a skupina ConA (doplnená 5 ug/ml konkanavalínu A; Sigma-Aldrich, St. Louis, MO, USA), slúžiaca ako pozitívna kontrola. Zakaždým sa použili duplexné stimulácie. Po 48 hodinách stimulácie sa jamky premyli, naviazala sa IFN- -detegovaná protilátka a substrát sa naočkoval. Škvrny v každej jamke boli skrínované a testované pomocou CTL analyzátora.
2.6. Imunohistochémia
Lymfoidné tkanivá boli vyšetrené imunohistochemickým testom s použitím detekčného systému Super Sensitive Polymer HRP IHC (BioGenex, Haag, Holandsko) a monoklonálnej protilátky 1C7A1 proti kmeňom CSFV genotypu 2.1 [21]. Vznik hnedej farby indikuje prítomnosť CSFV.
2.7. Štatistiky
Na stanovenie štatisticky významných rozdielov medzi skupinami sa použila analýza rozptylu a Duncanov test viacerých rozsahov. Analýza údajov sa uskutočnila pomocou SAS (SAS Institute, Cary, NC, USA). Hodnota p menšia ako 0,05 indikovala štatistickú významnosť.
3. Výsledky
3.1. Klinické príznaky
Všetky prasiatka boli pred experimentom zdravé (tabuľka 1). Prasiatko skupiny 1 bolo donorom CSFV (primárny útočník) a bolo naočkované kmeňom TD/96. Horúčka a klinické príznaky súvisiace s CSFV v skupine 1 boli detegované v 12 DPE a 13 DPE, v uvedenom poradí, s neustále sa zvyšujúcim skóre od 13 do 18 DPE, ktoré vrcholilo so skóre 20 na 18 DPE. Pokiaľ ide o prasiatka v skupinách 2 a 3, ktoré žili spolu s darcom CSFV, skupina 2, ktorá pozostávala z prasiatok s MDA, ktoré boli očkované vakcínou LPC, boli zdravé a počas experimentu nevykazovali žiadnu horúčku ani žiadne klinické príznaky súvisiace s CSFV . Avšak tie v skupine 3, ktorá zahŕňala prasiatka s MDA, ktoré nepodstúpili LPC vakcináciu, vykazovali horúčky pri 23 DPE (16 dní po prvom kontakte, DP1C) a počet febrilných ošípaných sa zvýšil z 23–36 DPE. Horúčka korelovala s klinickými príznakmi spojenými s CSFV, ktoré sa prejavili v 24. DPE (17 DP1C). Hoci jedno prasiatko (8138) vykazovalo mierne klinické príznaky (skóre pod 5), u ďalších dvoch prasiatok sa klinicky zhoršilo od 24 do 36 DPE, pričom ich skóre sa pohybovalo medzi 12 a 16. Prasiatko 8136 zo skupiny 3 uhynulo v 29. DPE. Prasiatka skupiny 4, ktoré boli v kontakte (spolubývané) s prasiatkami zo skupiny 2, boli tiež zdravé a počas experimentálneho obdobia nemali horúčku ani klinické príznaky súvisiace s CSFV. Prasiatka skupiny 5, ktoré boli v kontakte s prasiatkami zo skupiny 3, vykazovali horúčku pri 27 DPE (10 dní po druhom kontakte, DP2C) a klinické príznaky spojené s CSFV pri 30 DPE (13 DP2C). Počet febrilných prasiatok a klinické skóre v skupine 5 sa časom zvýšili; skóre pri 39 DPE bolo 21 ± 1,4, v rozmedzí od 19 do 22.
Tabuľka 1. Percento febrilných prasiatok v každej skupine počas experimentálneho obdobia.

Podľa klinických parametrov prítomnosť iba MDA (skupina 3) nemohla chrániť prasiatka pred kontaktným prenosom vyvolaným primárnym útočníkom (skupina 1). Jedna dávka LPC vakcíny navyše k MDA (skupina 2; tj široko používaná prax) ponúka ochranu pred kontaktným prenosom vyvolaným primárnym útočníkom (skupina 1; tabuľka 1). Široko aplikovaná vakcinačná prax tiež prospela sekundárne napadnutým prasiatkam (tj skupine 4, ktoré mali len MDA, ale nemali horúčku a klinické príznaky). Klinicky situácia v skupine 5 (prasiatka s kontaktným prenosom vyvolaným sekundárnymi útočníkmi) rekapitulovala situáciu v skupine 3 (kontaktný prenos vyvolaný primárnym útočníkom).
3.2. CSFV virémia
Kmeň CSFV TD/96 sa pred experimentom nezistil v krvi žiadneho z prasiatok (obrázky 2A a 3A). Po inokulácii TD/96 bola virémia TD/96 u prasiatka skupiny 1 prvýkrát detegovaná v 10 DPE (3 dni po inokulácii, POI) a kontinuálne detekovaná až do 17 DPE. Zaťaženia CSFV sa zvýšili z 101,2 TCID50/ml pri 10 DPE na 106,4 TCID50/ml pri 17 DPE. V skupine 2, zahŕňajúcej prasiatka s LPC vakcináciou, ktoré žili spolu s primárnym útočníkom, bola virémia TD/96 zistená len u jedného prasiatka (8134) z 21–35 DPE. Zaťaženia CSFV v krvi prasiatka 8134 dosiahli maximum (104,9 TCID50/ml) pri 24 DPE a následne klesli na 101,7 TCID50/ml pri 35 DPE. V skupine 3, zahŕňajúcej prasiatka bez očkovania LPC, ktoré žili spolu s primárnym útočníkom, bola virémia TD/96 prvýkrát zistená u 66,7 % (2/3) prasiatok v 21. DPE (14 DP1C) a všetky boli pozitívne do 24. DPE. Prasiatko 8138 však bolo negatívne na virémiu TD/96 od 28 do 35 DPI (obrázok 2A). V skupine 4, pozostávajúcej z prasiatok, ktoré spolunažívali so skupinou 2 v miestnosti 2, sa počas experimentálneho obdobia nezistila virémia TD/96. Všetky prasiatka skupiny 5, ktoré zahŕňali prasiatka, ktoré boli v kontakte so skupinou 3, boli pozitívne na virémiu TD/96 od 31 do 35 DPE. Zaťaženia CSFV sa pohybovali medzi 105,1 a 106,7 TCID50/ml pri 35 DPE (obrázok 3A). V skupinách 2 a 3 prítomnosť MDA oneskorila prvú detekciu virémie až do 10 DP1C (tj prasiatka zostali asymptomatické až do 17 DPE; tabuľka 1) s primárnym útočníkom v porovnaní s 3. dňom POI v skupine 1 pri akútnom fáza. Ďalšia jednotlivá dávka LPC vakcíny (skupina 2) znížila percento viremických ošípaných o 83 % (obrázok 2A). Podobne ďalšia jednorazová dávka LPC vakcíny znížila vírusovú záťaž v krvi z 28–35 DPE (obrázok 3A). LPC vakcinácia skupiny 2 tiež prospela prasiatkam skupiny 4, s ktorými následne žili (sekundárne napadnuté), napriek tomu, že jedno z prasiatok skupiny 2 malo prechodnú virémiu (obrázok 2A) a sliny (obrázok 2B) a vylučovanie stolice (obrázok 2C) TD /96. Táto zmena viremického stavu korelovala so zmenou stanovenou na základe klinických parametrov (časť 3.2), hoci laboratórna detekcia bola citlivejšia.
![Figure 2. Number (percentage) of piglets positive for TD/96 as detected through QRRT-PCR [20] of the (A) blood, (B) saliva, and (C) feces of the piglets in each group during the experimental period. The Group 1 piglet was inoculated ironically with TD/96 at 7 DPE and served as the CSFV donor (i.e., primary invader) for Groups 2 and 3. The piglets in Group 2 that underwent LPC vaccination at 0 DPE and those in Group 3 that did not undergo LPC vaccination cohabited with the Group 1 piglet from 7–17 DPE. The piglets in Groups 4 and 5 cohabited with those in Groups 2 and 3 (i.e., secondary invaders), respectively, from 17–36 DPE. Figure 2. Number (percentage) of piglets positive for TD/96 as detected through QRRT-PCR [20] of the (A) blood, (B) saliva, and (C) feces of the piglets in each group during the experimental period. The Group 1 piglet was inoculated ironically with TD/96 at 7 DPE and served as the CSFV donor (i.e., primary invader) for Groups 2 and 3. The piglets in Group 2 that underwent LPC vaccination at 0 DPE and those in Group 3 that did not undergo LPC vaccination cohabited with the Group 1 piglet from 7–17 DPE. The piglets in Groups 4 and 5 cohabited with those in Groups 2 and 3 (i.e., secondary invaders), respectively, from 17–36 DPE.](/Content/uploads/2023842169/20231123105049db3346ae3ad84d868bcb5bc46792b01a.png)
Obrázok 2. Počet (percento) prasiatok pozitívnych na TD/96 zistených pomocou QRRT-PCR [20] z (A) krvi, (B) slín a (C) výkalov prasiatok v každom skupine počas experimentálneho obdobia. Prasiatko skupiny 1 bolo ironicky naočkované TD/96 v 7 DPE a slúžilo ako donor CSFV (tj primárny útočník) pre skupiny 2 a 3. Prasiatka v skupine 2, ktoré podstúpili LPC vakcináciu v 0 DPE, a tie v skupine 3, ktoré nepodstúpilo očkovanie LPC v spoločnej domácnosti s prasiatkom 1. skupiny od 7 do 17 DPE. Prasiatka v skupinách 4 a 5 spolunažívali s prasiatkami v skupinách 2 a 3 (tj sekundárni útočníci) od 17 do 36 DPE.

Obrázok 3. Záťaže CSFV sú prítomné v (A) krvi, (B) slinách a (C) výkaloch prasiatok v každej skupine.
3.3. CSFV Vylievanie slín
Kmeň CSFV TD/96 sa pred experimentom nezistil v slinách žiadneho z prasiatok (obrázky 2B a 3B). Sliny prasiatka skupiny 1 boli najprv pozitívne na TD/96 pri 14 DPE (7 DP1C), čo pokračovalo až do 17 DPE. Zaťaženia CSFV sa zvýšili z 105,8 TCID50/ml pri 14 DPE na 107,6 TCID50/ml pri 17 DPE. Najmä v prasiatkach skupiny 2, ktoré boli očkované LPC a žili spolu s darcom CSFV, bol TD/96 prvýkrát zistený v 66,7 % (4/6) vzoriek slín pri 14 DPE (7 DP1C), ktoré sa stali negatívnymi. potom. Neskôr ďalšie prasiatko (1/6, Prasiatko 8134 s virémiou TD/96; obrázok 2A) vylučovalo TD/96 vo svojich slinách od 21 do 24 DPE pri 101,2 a 102,7 TCID50/ml, čo je nižšia hladina ako u vyššie uvedených prasiatok . V skupine 3 s prasiatkami len s MDA a bez vakcinácie LPC, ktoré žili spolu s darcom CSFV, bola TD/96 pôvodne detegovaná v 66,7 % (2/3) vzoriek slín pri 21 DPE a všetky vzorky slín boli pozitívne do 24 DPE. V skupine 4 zahŕňajúcej prasiatka, ktoré žili spolu s prasiatkami v skupine 2, sa TD/96 vo vzorkách slín počas experimentu nezistil, zatiaľ čo v skupine 5, zahŕňajúcej prasiatka, ktoré kohabitovali s prasiatkami v skupine 3, boli všetky vzorky slín pozitívne na TD/96 od 24 do 35 DPE. Záťaže CSFV sa časom zvyšovali a pohybovali sa od 105,9 do 107,3 TCID50/ml pri 35 DPE. Celkovo štyri šestiny prasiatok v skupine 2 (s jednodávkovou LPC vakcináciou) mali TD/96-pozitívne sliny v 14. DPE pred virémiou. CSFV bol detegovaný skôr u prasiatok skupiny 2, ktoré boli v kontakte s prasiatkom skupiny 1 počas jeho vylučovania TD/96. Jedno prasiatko (Prasiatko 8134) v skupine 2 neskôr vykazovalo prechodné vylučovanie od 21 do 24 DPE, čo je pravdepodobnejšie predstaviteľom replikácie CSFV v slinných žľazách po virémii. Podľa porovnania medzi skupinami 2 a 3 vakcinácia LPC znížila vylučovanie CSFV.
3.4. Vylučovanie CSFV vo výkaloch
Kmeň CSFV TD/96 sa pred experimentom nezistil vo výkaloch žiadneho z prasiatok (obrázky 2C a 3C). Výkaly prasiatka skupiny 1 boli TD/96 pozitívne najskôr v 14 DPE (7 DPIC), čo pokračovalo až do 17 DPE. Zaťaženia CSFV sa zvýšili z 105,1 TCID50/g pri 14 DPE na 108,8 TCID50/ml pri 17 DPE. V skupine 2, zahŕňajúcej prasiatka s LPC vakcináciou, ktoré žili spoločne s darcom CSFV skupiny 1, bolo len prasiatko 8134 prechodne vyvrhnuté pri 24 DPE (17 DPIC), zatiaľ čo všetky ostatné prasiatka v skupine 2 boli negatívne. V skupine 3, zahŕňajúcej prasiatka bez očkovania LPC, ktoré žili spolu s darcom CSFV, boli dve tretiny prasiatok (všetky okrem prasiatka 8138) pozitívne medzi 21 (14 DP1C) a 35 DPE, počas ktorých sa záťaž CSFV zvýšila z 105,1 TCID50/g pri 21 DPE na 107,5 TCID50/ml pri 31 DPE. Avšak vzorky výkalov Prasiatka 8138 s prechodnou virémiou TD/96 neboli pozitívne na TD/96. V skupine 4, pozostávajúcej z prasiatok, ktoré žili spolu s prasiatkami v skupine 2, boli všetky vzorky stolice negatívne na TD/96 počas experimentálneho obdobia. V skupine 5, ktorá zahŕňala prasiatka, ktoré žili spoločne so skupinou 3, sa počet TD/96-pozitívnych vzoriek výkalov časom zvýšil z 24 – 35 DPE a záťaže sa pohybovali od 105,7 do 107,2 TCID50/g pri 35 DPE . V skupine 5 sa prvá detekcia vyskytla v 24 DPE (7 DP2C), čo bolo podobné ako v skupine 1 (14 DPE), a celkový profil bol paralelný s profilom virémie (obrázok 2A), čo naznačuje, že CSFV sa replikoval lokálne po virémii . Ako je podrobne uvedené v častiach 3.3 a 3.4, výkaly a sliny boli hlavnými nosičmi kontaktného prenosu CSFV.

cistanche tubulosa - zlepšenie imunitného systému
3.5. Zaťaženia CSFV v tkanivách získané pitvou
Tkanivá darcovského prasiatka CSFV skupiny 1 a prasiatok v skupinách 3 a 5, s ktorými kohabitovali, boli TD/96 pozitívne (tabuľka 2). Záťaže TD/96 v tkanivách prasiatok skupiny 1 sa pohybovali medzi 103,76 a 109,37 TCID50/g. V skupine 5, zahŕňajúcej prasiatka, ktoré boli v kontakte s prasiatkami v skupine 3, bola TD/96 detegovaná u všetkých prasiatok a distribuovaná vo všetkých tkanivách, s vyšším zaťažením v hematolymfoidných orgánoch (mandle, lymfatické uzliny a slezina) a týchto orgánoch s hojnejším zásobovaním krvou (pečeň, pľúca, srdce a obličky), ako je znázornené na obrázku 2A, C. Najvyššie zaťaženie TD/96 bolo v lymfoidných tkanivách (nad 109,0 TCID50/g). Naproti tomu nehematolymfoidné tkanivá zo spolubývajúcich prasiatok zo skupín 2 a 4, s výnimkou prasiatka 8134 zo skupiny 2, ktoré malo prechodnú virémiu TD/96, boli pozitívne na nízku hladinu TD/96 iba v krvi, mandlích, inguinálnych lymfatických uzlinách a submaxilárne lymfatické uzliny, pričom tieto hladiny sa pohybujú medzi 101,65 a 103,78 TCID50/g. V skupine 3, zahŕňajúcej prasiatka bez LPC vakcinácie, ktoré boli v kontakte s darcom CSFV skupiny 1, bola TD/96 detegovaná vo všetkých tkanivách dvoch z troch prasiatok (okrem prasiatka 8138). Prasiatko 8138 zo skupiny 3, ktoré malo prechodnú TD/96 virémiu, malo TD/96 v mandlích, submaxilárnych lymfatických uzlinách a bronchiálnych lymfatických uzlinách, hoci vírusová záťaž bola nižšia ako priemer, v rozmedzí od 103,08 do 104,69 TCID50/ml.
Tabuľka 2. Zaťaženia CSFV zistené v rôznych tkanivách prasiatok prostredníctvom CSFV QRRT-PCR

3.6. CSFV v experimentálnom prostredí
Plot, výkaly na podlahe, kŕmny žľab a pitná fontána každej experimentálnej miestnosti boli testované na TD/96 pomocou QRRT-PCR (tabuľka 3). TD/96 bola detegovaná v 14. a 17. DPE vo výkaloch na podlahe miestnosti 12, kde darca CSFV skupiny 1 žil spolu s prasiatkami v skupinách 2 a 3. Plot, kŕmny žľab a napájačka boli všetky testované negatívne. Vzorky z miestnosti 2, v ktorej spolu žili skupiny 2 a 4, boli všetky negatívne od 21 do 35 DPE. TD/96 bol prvýkrát detegovaný vo výkaloch na podlahe miestnosti 4 (skupiny 3 a 5) pri 24 DPE. Následne bol TD/96 detegovaný na plote, kŕmnom žľabe a pitnej fontánke miestnosti 4 od 28 do 35 DPE. Tieto výsledky naznačujú, že výkaly (ktoré by mohli byť potenciálne prítomné vo všetkých typoch vzoriek životného prostredia) a sliny (ktoré by boli s najväčšou pravdepodobnosťou prítomné vo vzorkách kŕmnych žľabov a pitnej fontánky) boli primárnymi vehikulami pre kontaktný prenos. Prechodné vírusové vylučovanie prasiatok skupiny 2 (obrázky 2 a 3) nebolo zavedené do miestnosti 2, kde žili spolu s prasiatkami v skupine 4.
Tabuľka 3. Zaťaženie CSFV environmentálnych vzoriek z experimentálnych miestností.

3.7. CSFV-špecifické IFN- -vylučujúce PBMC
CSFV-špecifické bunky vylučujúce IFN{1}} sa skúmali v PBMC prasiatok v skupinách 2 až 5 medzi 7 a 35 DPE (obrázok 4). V prasiatkach skupiny 2 boli počty buniek vylučujúcich IFN- -, hoci s frekvenciou menšou ako 0,1 % PBMC, významne vyššie ako v skupinách 3, 4 a 5 medzi 7 a 35 DPE. Počty buniek vylučujúcich IFN{16}} v prasiatku 8134 zo skupiny 2, ktoré malo prechodnú TD/96 virémiu v podobnom časovom rámci (obrázok 2A), korelovali s výrazne nižším počtom 56 (21 DPE) a 62 (28 DPE, skupinový priemer väčší alebo rovný 116); tieto čísla však dosiahli priemer skupiny o 35 DPE. Počet buniek vylučujúcich IFN- - špecifických pre CSFV v skupinách 3, 4 a 5 sa významne nelíšil.

Obrázok 4. Bunky vylučujúce IFN- -špecifické pre CSFV sa skúmali v PBMC prasiatok v skupinách 2 až 5 medzi 7. a 35. DPE. Prasiatka v skupine 2 s LPC vakcináciou v 0 DPE a tie v skupine 3 bez LPC vakcinácie žili spolu s prasiatkom CSFV darcom skupiny 1 od 7 do 17 DPE. Prasiatka v skupinách 4 a 5 spolunažívali s prasiatkami v skupinách 2 a 3, v tomto poradí, od 17 do 35 DPE. Hodnoty s rôznymi hornými indexmi aab označujú vzájomný štatisticky významný rozdiel (p < 0,05). Medzi hodnotami obsahujúcimi rovnaké písmeno neexistujú žiadne významné rozdiely
3.8. Anti-CSFV NA
Anti-CSFV NA v sére prasiatok boli vytvorené ako odpoveď na kmeň LPC (obrázok 5A) alebo kmeň TD/96 (obrázok 5B). Anti-CSFV NA neboli zistené u darcu CSFV skupiny 1 medzi 7 a 17 DPE. Séra prasiatok v skupinách 2 až 5 pri {{10}} DPE vykazovali titre v rozsahu 5 až 7 log2 (medzi 32- až 128-násobkom). Potom, čo boli prasiatka skupiny 2 vakcinované LPC vakcínou a žili spolu s CSFV darcom, priemerný titer neklesol medzi 0 a 28 DPE. V dôsledku zvýšenia anti-LPC NA u Prasiatka 8134 z 31–35 DPE sa priemerný titer skupiny 2 významne zvýšil. V skupine 3 prasiatok bez LPC vakcinácie, ktoré žili spolu s CSFV darcom, priemerný titer postupne klesal medzi 0 a 28 DPE. Keď sa titer prasiatka 8138 postupne zvyšoval medzi 21 a 35 DPE, priemerný titer skupiny 3 sa naopak zvýšil medzi 31 a 35 DPE. Priemerné titre skupín 4 a 5 časom klesali. Vo všeobecnosti sa profil anti-TD/96 NA každej skupiny zhodoval s profilom anti-LPC NA, hoci priemer anti-TD/96 NA bol medzi 1,3 a 3,7 log2 (približne 2–12--krát; Obrázok 5B), ktorý bol nižší ako priemer anti-LPC NA.

Obrázok 5. Anti-LPC (A) alebo TD/96 (B) NA v sére prasiatok v každej skupine počas experimentálneho obdobia. Prasiatko skupiny 1 bolo ironicky naočkované TD/96 v 7 DPE a slúžilo ako donor CSFV (tj primárny útočník), následne spolubývajúce s prasiatkami zo skupín 2 a 3 od 7 do 17 DPE. Prasiatka skupiny 2 boli vakcinované LPC v 0 DPE a prasiatka skupiny 3 neboli vakcinované LPC. Prasiatka v skupinách 4 a 5 spolunažívali s prasiatkami v skupinách 2 a 3, v tomto poradí, od 17 do 35 DPE.
Odhadovaný polčas rozpadu MDA odvodených z titrov protilátok prasiatok skupiny 4 prenesených cez kolostrum prasníc vakcinovaných LPC bol 10,7 dňa (obrázok 5A). Tento odhad je podporený negatívnou horúčkou a klinickými príznakmi (tabuľka 1), negatívnou virémiou, slinami a fekálnou vírusovou záťažou (obrázky 2 a 3), tkanivami (tabuľka 2; pozri časť 3.9) a vzorkami z prostredia (tabuľka 3 ) prasiatok skupiny 4, čo naznačilo, že počas experimentálneho obdobia neboli infikované vírusom TD/96.
3.9. Imunohistochémia Detekcia CSFV antigénových signálov vo vzorkách pitevného tkaniva
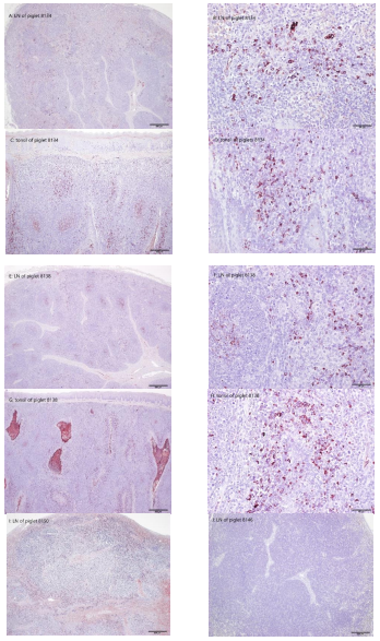
Signály CSFV TD/96 boli detegované v lymfoidných tkanivách darcu CSFV skupiny 1 (obrázok 6I), jedného prasiatka v skupine 2 (prasiatko 8134, ktoré malo záťaž CSFV v krvi, ktorá bola na najvyššej úrovni 104,9 TCID50 /ml pri 24 DPE a následne sa znížila na 101,7 TCID50/ml pri 35 DPE), troch prasiatok v skupine 3 a troch prasiatok v skupine 5. Prasiatka skupiny 4 neboli pozitívne na TD/96 (obrázok 6J). Silné signály CSFV TD/96 boli široko distribuované v mandlích, slezinách a lymfatických uzlinách prasiatok v skupinách 1, 3 (okrem prasiatka 8138) a 5. Pre prasiatko 8134 (skupina 2) s prechodnou virémiou TD/96 , rozptýlené TD/96-pozitívne signály boli lokalizované väčšinou v parenchýmových oblastiach mandlí, drene inguinálnych lymfatických uzlín a submaxilárnych lymfatických uzlinách (obrázok 6A–D), čo je v súlade s výsledkami vírusovej záťaže kvantifikácia týchto tkanív (tabuľka 2). Morfológia a distribúcia TD/96-pozitívnych buniek bola silne makrofágická. V prasiatku 8138 (skupina 3) s prechodnou virémiou TD/96 bol počet a distribúcia pozitívnych signálov TD/96- (obrázok 6E–H) podobná ako u prasiatka 8134.

Obrázok 6. Antigény CSFV v lymfoidných tkanivách boli označené monoklonálnou protilátkou 1C7A1. Lymfatická uzlina (A, B) a mandle (C, D) prasiatka 8134 (skupina 2), ktoré malo prechodnú TD/96 virémiu, predstavujú hnedý TD/96- pozitívny signál. Lymfatická uzlina (E, F) a mandle (G, H) prasiatka 8138 (skupina 3), ktoré malo prechodnú TD/96 virémiu, predstavujú hnedý TD/96-pozitívny signál. Lymfatická uzlina (I) prasiatka 8150 (skupina 1) predstavuje difúzny hnedý TD/96-pozitívny signál v parakortexe. Lymfatická uzlina (J) prasiatka 8146 (skupina 4) bola negatívna na TD/96
U Prasiatka 8134 (Skupina 2) a Prasiatka 8138 (Skupina 3), oboch s prechodnou nízkou úrovňou virémie (obrázky 2A a 3A; tabuľka 2), boli antigény CSFV stále detegovateľné v tkanivových makrofágoch mandlí (obrázok 6A–H) , ktorá opäť preukázala, že mandle sú ideálnym tkanivom na diagnostiku CSFV.
4. Diskusia
Očkovanie je kľúčové pre prevenciu a kontrolu CSF v endemických oblastiach CSF. Široko používanou praxou je poskytnúť novorodencom MDA prostredníctvom kolostra vakcinovaných prasníc a potom podať jednu dávku MLV (ako je LPC), keď sú prasiatka vo veku 3 až 6 týždňov; tento postup sa použil pre skupinu 2 v tejto štúdii (obrázok 1). Mnoho faktorov, vrátane kvality vakcíny, postupov vakcinačného programu (napr. schémy, typy a cesty) a hladiny MDA a zdravotný stav ošípaných (vrátane individuálnych variácií), môže ovplyvniť účinnosť očkovania proti CSFV, čím sa zníži ochrana pred infekciou [14– 16]. V tejto štúdii, hoci prasiatka v skupinách 2 a 3 mali vysoké hladiny MDA pri 1:32–128--násobku 7 DPE (obrázok 5A; tj 0 DP1C s darcom CSFV skupiny 1; Obrázok 1), MDA oneskorili progresiu infekcie, ako naznačuje neskorý výskyt virémie pri 10 DP1C (skupiny 2 a 3; obrázok 2A). To spôsobilo, že prasiatka boli asymptomatické (tabuľka 1), hoci niektoré prasiatka stále vylučovali vírus v slinách a výkaloch (obrázok 2B, C). Tieto príležitostné vylučujúce vírusy v skupine 2 predstavovali individuálne variácie v skupinovom zdravotnom stave alebo imunitných reakciách analyzovaných v tejto štúdii. Samotné MDA môžu poskytnúť len čiastočnú ochranu predtým, ako dôjde k replikácii vírusu v krvi a tkanive. Hladina anti-CSFV TD/96 NA nebola pozitívne konvertovaná po vakcinácii LPC (obrázok 5B), dokonca ani potom, čo prasiatka žili spolu s primárnym útočníkom skupiny 1. K tomu pravdepodobne došlo, pretože hladina MDA skutočne interferovala s účinnosťou MLV a kvôli imunosupresívnej povahe invázneho CSFV TD/96.

cistanche tubulosa - zlepšenie imunitného systému
Titre anti-CSFV NAs a CMI reprezentované počtom buniek vylučujúcich IFN- - špecifických pre CSFV úzko súvisia s ochranou ošípaných pred infekciou CSFV [17,22–24]. Prasiatko 8134 (skupina 2), s nízkymi hladinami anti-CSFV NA a nízkym počtom buniek vylučujúcich IFN- - špecifických pre CSFV po inokulácii MLV (obrázky 4 a 5), vykazovalo prechodnú virémiu CSFV a vylučovanie po kontakte s CSFV darcu (obrázky 2 a 3). Na rozdiel od toho, ostatné prasiatka v skupine 2 s nízkymi anti-CSFV NA, ale relatívne vysokými CSFV špecifickými IFN- - vylučujúcimi bunkami po inokulácii MLV, neboli infikované CSFV, dokonca ani po 10-dňovom spolužití s darcom CSFV . Okrem toho, hoci prasiatko 8138 (skupina 3) malo vysoký titer anti-LPC NA (viac ako 128-násobok) bez vakcinácie MLV a s minimálnymi bunkami vylučujúcimi IFN- -špecifický pre CSFV, vykazovalo tiež prechodný CSFV virémie po spolužití s darcom TD/96, ale do konca experimentálneho obdobia bol bez CSFV. Ostatné prasiatka v skupine 3 s nízkymi hladinami anti-LPC NA (nižšími ako 64-krát) a bez očkovania proti MLV vykazovali závažné klinické príznaky súvisiace s CSFV, lézie a vysoké zaťaženie tkanivami CSFV, čo viedlo k smrti. Porovnanie výsledkov skupín 2 a 3, ktoré mali podobné titre a profily anti-CSFV (obrázok 5), ukazuje, že CMI je kľúčovým faktorom pri odstraňovaní vírusu a jeho obnove. Prasiatka skupiny 2 mali viac CMI (obrázok 4), čo je v súlade s voľným klinickým skóre (tabuľka 1) a všetkými testovanými parametrami (obrázok 2, obrázok 3 a obrázok 6).
Pozoruhodné je, že v skupine 2 a v ostatných skupinách sa hladiny CMI výrazne nezvýšili (a iba s frekvenciou nižšou ako 0,1 % PBMC) počas experimentálneho obdobia (obrázok 4), napriek tomu, že prasiatka konštantná expozícia šíreniu vírusu darcu CSFV skupiny 1 a prasiatok skupiny 3 od 7 do 17 DPE (obrázky 2 a 3). Nízke frekvencie buniek vylučujúcich IFN{10}} pravdepodobne odrážajú nasledovné: (1) imunosupresívnu povahu CSFV, (2) interferenciu MDA a (3) technické obmedzenie testu, ktorý sme vykonali. Preto je na zlepšenie imunity stád nevyhnutné určenie vhodného okna, v ktorom je hladina MDA dostatočne nízka, aby sa zabránilo interferencii, a zároveň dostatočne vysoká na poskytnutie počiatočnej ochrany a zosilnenia anti-CSFV CMI.
V prípade prasiatok skupiny 2 liečených široko aplikovaným vakcinačným postupom sa občasné vylučovanie CSFV v slinách a výkaloch vyskytlo na krátku dobu (obrázok 2) pri nízkych zaťaženiach CSFV (obrázok 3); prasiatka v skupine 4 (len s MDA) teda blokovali prenos CSFV do skupiny 4, ako naznačujú CSFV-negatívne výsledky environmentálnych vzoriek odobratých z miestnosti 2 (tabuľka 3), absencia horúčky a klinických príznakov (tabuľka 1 ), a neprítomnosť slín a vylučovania stolice a virémie (obrázky 2 a 3) počas spolužitia. Asymptomatické nosiče CSFV v skupine 2 však mohli byť v teréne nezistiteľným problémom.
Imunitnú odpoveď možno rýchlo a stabilne vyvolať u prasiatok SPF očkovaných MLV. Bunkové a humorálne imunitné odpovede prasiatok vakcinovaných MLV sa prejavia najskôr 5 a 12 dní po vakcinácii [14–16,22]. Keď sa MLV používa v komerčných stádach, MDA znižujú účinnosť MLV. V tejto štúdii sa CMI prasiatok skupiny 2 so značnými hladinami MDA rýchlo zvýšil pri 0 DP1C (7 DPE; obrázok 4; tj oveľa rýchlejšie ako u ošípaných SPF bez MDA), hoci ani protilátka, ani CMI profily sa dramaticky zmenili (obrázky 4 a 5). Takéto rýchle zvýšenie pri 7 DPE (obrázok 4) po vakcinácii LPC naznačuje, že kolostrum môže poskytovať ďalšie imunologické zložky okrem MDA, ktoré vyvolávajú anamnestickú odpoveď.
Anti-CSFV NA sa bežne používajú na hodnotenie účinnosti vakcíny a na prieskum CSFV infekcie v stádach. Podľa kmeňa CSFV je titer anti-CSFV NA proti homológnym kmeňom (napr. LPC genotypu 1.1) vyšší ako titer proti heterogénnym kmeňom (napr. TD/96 genotypu 2.1) a v tejto štúdii bola log2 1,3 až 3,7 (obrázok 5A) vyššia ako v prípade kmeňa TD/96 (obrázok 5B) [14]. Podobný rozdiel titrov NA bol pozorovaný aj v rôznych kmeňoch vírusu reprodukčného a respiračného syndrómu ošípaných (PRRSV) a SARS-CoV-2 [25,26]. Keďže MDA sú životne dôležitým interferenčným faktorom pre účinnosť MLV, optimálny vakcinačný plán na inokuláciu MLV u prasiatok je vtedy, keď sú MDA prasiatok nižšie ako 1:32-násobok titra anti-LPC NA. Preto optimálny čas očkovania proti MLV v tejto štúdii bol 28 DPE, čo je v súlade s naším odhadom, že polčas MDA bol 10,7 dňa (skupina 2; obrázok 5A) a podobný výsledkom analýzy anti- LPC NA titre skupín 4 a 5. Paradoxne sa za ochranný index pre CSFV infekcia [17]. Väčšina prasiatok v skupinách 4 a 5 mala menej ako 1:{40}}násobok anti-TD/96 NA titrov od 7 DPE ďalej. Obdobie okna, kedy sú hladiny MDA vhodne nízke, aby neinterferovali s vakcináciou MLV, ale dostatočne vysoké na to, aby boli ochranné, je úzke, zatiaľ čo okno pre riziko infekcie CSFV je široké. Vhodné obdobie na očkovanie proti MLV sa môže predĺžiť len vtedy, ak je MLV produkovaný z homológnych kmeňov, ktoré sú zvyčajne nedostupné vo väčšine oblastí s endemickým výskytom CSFV.
Imunita stáda negatívne koreluje s šírením patogénov pri prevencii a kontrole chorôb. Zvýšená imunita stáda môže znížiť tak náchylnosť k infekcii, ako aj rozsah vylučovania patogénu v stáde [27,28]. Očkovanie sa bežne používa ako priamy a rýchly nástroj na zvýšenie imunity stáda. Ukázalo sa, že zlepšenie pokrytia imunity stáda prostredníctvom imunizácie vakcínou na zníženie šírenia patogénu je účinné pri kontrole PRRSV, prasacieho cirkovírusu typu 2, CSFV, vírusu pseudobesnoty a SARS-CoV-2 [29–36]. V štúdiách CSFV podávanie MLV aj E2 podjednotkových vakcín tiež znížilo prenos CSFV v stádach [14–16,22,32]. V tejto štúdii, hoci niekoľko prasiatok očkovaných MLV vykazovalo prechodnú CSFV virémiu a vylučovanie (skupiny 2 a 3; obrázky 2 a 3), inokulácia MLV nielenže ponúkla úplnú ochranu očkovaným ošípaným, ale tiež zabezpečila, že kmeň TD/96 sa nepreniesol z primárneho útočníka (skupina 1) do sekundárne napadnutej skupiny (skupina 4). Na rozdiel od toho sa TD/96 rozšírila od darcu CSFV skupiny 1 do skupiny 3 (bez očkovania proti MLV) a ďalej do skupiny 5, čo dokazuje, že očkovanie MLV proti CSFV môže blokovať prenos CSFV, čím sa zvyšuje pravdepodobnosť eradikácie CSFV znížením hodnoty základné reprodukčné číslo (R0) patogénu [28]. Na eradikáciu chorôb s patogénmi s vysokým R0 je potrebné rozsiahlejšie pokrytie vakcínou. R0 CSFV súvisí s virulenciou kmeňa a inokulačnou dávkou CSFV. Hladiny patogénu R0 pri stredne inokulačných a vysokých inokulačných dávkach stredne virulentného kmeňa a nízkej inokulačnej dávke vysoko virulentného kmeňa sú podstatne vyššie ako pri vysokej inokulačnej dávke s nízkou virulenciou kmeň [13]. Tieto výsledky naznačujú, že v endemických oblastiach CSF so stredne alebo vysoko virulentnými kmeňmi CSFV je potrebné väčšie pokrytie imunitou stáda.
Bunky monocytovo-makrofágovej línie sú bunky tropizmu CSFV, ktoré zohrávajú úlohu pri prenose CSFV [37–39]. V tejto štúdii boli prasiatka, ktoré sa zotavili, zdravé a asymptomatické; avšak CSFV môže trvalo infikovať a skrývať sa v lymfoidných tkanivách (obrázok 6), čím sa vyhýba imunitnému odstráneniu; to tiež podporuje použitie lymfoidných tkanív ako ideálnych vzoriek na diagnostiku. Pretrvávajúca vírusová infekcia bola pozorovaná aj pri CSFV, víruse ľudskej imunodeficiencie typu 1 a respiračnom syncyciálnom víruse [40–42]. CSFV má schopnosť meniť expresiu cytokínov, cytokínových receptorov, chemokínov, interferónov a toll-like receptorov v makrofágoch, čo odráža jeho imunosupresívnu povahu a takmer neaktivitu protilátok (obrázok 5) a profilov CMI (obrázok 4). experimentálnych ošípaných, napriek ich neustálemu vystaveniu CSFV vylučovaniu v slinách a výkaloch primárnych (skupina 1) a sekundárnych (skupina 3) útočníkov. Imunoregulácia ošípaných po infekcii CSFV zahŕňa zvýšenie prozápalových (IL-1, IL{12}}, IL-8 a MCF) a antivírusových faktorov (IFN- a ) [43]. Vyvinuté mechanizmy a pretrvávajúca infekcia CSFV však zostávajú nejasné.

cistanche výhody pre mužov - posilnenie imunitného systému
5. Závery
MDA, po ktorej nasleduje očkovanie proti MLV, môže vyvolať dostatočnú imunitu, najmä CMI, čo umožní vírusový klírens a zotavenie. Hoci niekoľko prasiatok očkovaných proti MLV malo prechodnú virémiu nízkej úrovne a vylučovanie vírusu v slinách a výkaloch, prenos CSFV na tretiu stranu (skupina 4) mohol byť zablokovaný vakcináciou proti MLV, čím sa znížilo R0 CSFV a zvýšenie možnosti eradikácie CSF.
Referencie
1. WOAH. Kapitola 15.2: Infekcia vírusom klasického moru ošípaných. In Kódex zdravia suchozemských zvierat; WOAH: Paríž, Francúzsko, 2022.
2. Ganges, L.; Crooke, HR; Bohórquez, JA; Postel, A.; Sakoda, Y.; Becher, P.; Ruggli, N. Vírus klasického moru ošípaných: Minulosť, prítomnosť a budúcnosť. Virus Res. 2020, 289, 198151. [CrossRef] [PubMed]
3. WOAH (World Animal Health Information System). Klasický mor ošípaných: Oficiálny stav choroby. Dostupné na internete: www.woah. org/en/disease/classical-swine-fever/#ui-id-2 (prístup 1. septembra 2022).
4. Sawai, K.; Nishi, T.; Fukai, K.; Kato, T.; Hayama, Y.; Yamamoto, T. Fylogenetická a fylodynamická analýza prepuknutia vírusu klasického moru ošípaných v Japonsku (2018–2020). Transbound. Emerg. Dis. 2022, 69, 1529–1538. [CrossRef] [PubMed]
5. De Oliveira, LG; Gatto, IRH; Mechler-Dreibi, ML; Almeida, HMS; Sonálio, K.; Storino, GY Úspechy a výzvy eradikácie klasického moru ošípaných v Brazílii. Vírusy 2022, 12, 1327. [CrossRef] [PubMed]
6. Zhu, X.; Liu, M.; Wu, X.; Ma, W.; Zhao, X. Fylogenetická analýza izolátov vírusu klasického moru ošípaných z Číny. Arch. Virol. 2021, 166, 2255–2261. [CrossRef] [PubMed]
7. Lindenbach, BD; Thiel, HJ; Rice, CM Flaviviridae: Vírusy a ich replikácia. In Fields Virology, 5. vydanie; Knipe, DM, Howley, PM, Griffin, DE, Eds.; Lippincott Williams & Wilkins: Philadelphia, PA, USA, 2007; s. 1101–1152.
8. Paton, DJ; McGoldrick, A.; Greiser-Wilke, I.; Parchariyanon, S.; Pieseň, JY; Liou, PP; Stadejek, T.; Lowings, JP; Bjorklund, H.; Belak, S. Genetická typizácia vírusu klasického moru ošípaných. Vet. Microbiol. 2000, 73, 137-157. [CrossRef] [PubMed]
9. Depner, KR; Hinrichs, U.; Bickhardt, K.; Greiser-Wilke, I.; Pohlenz, J.; Moennig, V.; Liess, B. Vplyv faktorov súvisiacich s plemenom na priebeh infekcie vírusom klasického moru ošípaných. Vet. Rec. 1997, 140, 506-507. [CrossRef]
10. Floegel-Niesmann, G.; Bunzenthal, C.; Fischer, S.; Moennig, V. Virulencia nedávnych a bývalých izolátov vírusu klasického moru ošípaných hodnotená podľa ich klinických a patologických príznakov. J. Vet. Med. Ser. B 2003, 50, 214–220. [CrossRef]
11. Moennig, V.; Floegel-Niesmann, G.; Greiser-Wilke, I. Klinické príznaky a epidemiológia klasického moru ošípaných: Prehľad nových poznatkov. Vet. J. 2003, 165, 11-20. [CrossRef]
12. Durand, B.; Davila, S.; Cariolet, R.; Mesplède, A.; Le Potier, MF Porovnanie odhadov na základe virémie a klinických odhadov prenosu vírusu klasického moru ošípaných v rámci a medzi kotcami z troch experimentov prenosu. Vet. Microbiol. 2009, 135, 196–204. [CrossRef]
13. Weesendorp, E.; Backer, J.; Stegeman, A.; Loeffen, W. Vplyv kmeňa a inokulačnej dávky vírusu klasického moru ošípaných na prenos v rámci koterca. Vet. Res. 2009, 40, 59. [CrossRef]
14. Huang, YL; Deng, MC; Wang, FI; Huang, CC; Chang, CY Výzvy kontroly klasického moru ošípaných: Vakcíny s modifikovaným životom a podjednotkou E2. Virus Res. 2014, 179, 1–11. [CrossRef] [PubMed]
15. Suradhat, S.; Damrongwatanapokin, S.; Thanawongnuwech, R. Faktory kritické pre úspešnú vakcináciu proti klasickému moru ošípaných v endemických oblastiach. Vet. Microbiol. 2007, 119, 1–9. [CrossRef] [PubMed]
16. Van Oirschot, JT Vakcinológia klasického moru ošípaných: Z laboratória do terénu. Vet. Microbiol. 2003, 96, 367-384. [CrossRef]
17. Terpstra, C.; Wensvoort, G. Ochranná hodnota titrov neutralizačných protilátok vyvolaných vakcínou pri moru ošípaných. Vet. Microbiol. 1988, 16, 123–128. [CrossRef]
18. Vandeputte, J.; Tiež, HL; Ng, FK; Chen, C.; Chai, KK; Liao, GA Adsorpcia kolostrálnych protilátok proti klasickému moru ošípaných, perzistencia materských protilátok a účinok na odpoveď na vakcináciu u mláďat ošípaných. Am. J. Vet. Res. 2001, 62, 1805–1811. [CrossRef] [PubMed]
19. Ma, WJ; Chen, QL; Chang, CC Skúmanie účinnosti protilátok a prítomnosti vírusovej RNA pred a po vakcinácii kmeňa vakcíny proti klasickému moru ošípaných na taiwanských farmách ošípaných. Taiwan Vet. J. 2010, 36, 45–54.
20. Mittelholzer1, C.; Moser, C.; Tratschin, JD; Hofmann, MA Analýza kinetiky replikácie vírusu klasického moru ošípaných umožňuje diferenciáciu vysoko virulentných kmeňov od avirulentných. Vet. Microbiol. 2000, 74, 293-308. [CrossRef]
21. Huang, YL; Pang, VF; Pan, CH; Chen, TH; Jong, MH; Huang, TS; Jeng, ČR Vývoj reverznej transkripčnej multiplexnej PCR v reálnom čase na detekciu a genotypizáciu vírusu klasického moru ošípaných. J. Virol. Methods 2009, 160, 111–118. [CrossRef]
22. Huang, YL; Meyer, D.; Postel, A.; Tsai, KJ; Liu, HM; Yang, CH; Huang, YC; Berkley, N.; Deng, MC; Wang, FI; a kol. Identifikácia spoločného konformačného epitopu na glykoproteíne E2 vírusu klasického moru ošípaných a vírusu hraničnej choroby. Vírusy 2021, 13, 1655. [CrossRef]
23. Graham, SP; Everett, HE; Haines, FJ; Johns, HL; Sosan, OA; Salguero, FJ; Clifford, DJ; Steinbach, F.; Drew, TW; Crooke, H. Výzva ošípaných vírusmi klasického moru ošípaných po očkovaní kmeňom C odhaľuje pozoruhodne rýchlu ochranu a pohľad na skorú imunitu. PLoS ONE 2012, 7, e29310. [CrossRef]
24. Graham, SP; Haines, FJ; Johns, HL; Sosan, O.; Rocca, SAL; Lamp, B.; Rumenapf, T.; Everett, H.; Crooke, H. Charakterizácia vakcínou indukovaných, široko skrížene reaktívnych odpovedí T buniek vylučujúcich IFN, ktoré korelujú s rýchlou ochranou proti vírusu klasického moru ošípaných. Vaccine 2012, 30, 2742–2748. [CrossRef] [PubMed]
25. Suradhat, S.; Intrakamhaeng, M.; Damrongwatanapokin, S. Korelácia vírusovo špecifickej produkcie interferónu-gama a ochrany pred infekciou vírusom klasického moru ošípaných. Vet. Immunol. Imunopathol. 2001, 83, 177-189. [CrossRef] [PubMed]
26. Planas, D.; Veyer, D.; Baidaliuk, A.; Staropoli, I.; Guivel-Benhassine, F.; Rajah, MM; Planchais, C.; Porrot, F.; Robillard, N.; Puech, J.; a kol. Znížená citlivosť delta variantu SARS-CoV-2 na neutralizáciu protilátky. Príroda 2021, 596, 276–280. [CrossRef]
27. Zhang, C.; Hu, J. Vakcíny proti vírusu reprodukčného a respiračného syndrómu ošípaných: Súčasný stav a stratégie univerzálnej vakcíny. Transbound. Emerg. Dis. 2014, 61, 109–120.
28. Andre, FE; Booy, R.; Bock, HL; Clemens, J.; Data, SK; John, TJ; Lee, BW; Lolekha, S.; Peltola, H.; Ruff, TA; a kol. Očkovanie výrazne znižuje choroby, invaliditu, úmrtnosť a nerovnosť na celom svete. Bull. Svetový zdravotnícky orgán. 2008, 86, 140–146. [CrossRef] [PubMed]
29. Rose, N.; Andraud, M. Použitie vakcín na kontrolu šírenia patogénov v populáciách ošípaných. Správa zdravia ošípaných. 2017, 3, 8. [CrossRef] [PubMed]
30. Andraud, M.; Grasland, B.; Durand, B.; Cariolet, R.; Jestin, A.; Madec, F.; Rose, N. Kvantifikácia prenosu prasacieho cirkovírusu typu 2 (PCV-2) v rámci a medzi kotcami u ošípaných. Vet. Res. 2008, 39, 43. [CrossRef]
31. Rose, N.; Andraud, M.; Bigault, L.; Jestin, A.; Grasland, B. Komerčná vakcína na báze PCV2a významne znižuje prenos PCV2b v experimentálnych podmienkach. Vaccine 2016, 34, 3738–3745. [CrossRef]
32. Rose, N.; Renson, P.; Andraud, M.; Paboeuf, F.; Le Potier, MF; Bourry, O. Modifikovaná živá vakcína proti vírusu reprodukčného a respiračného syndrómu ošípaných (PRRSv) znižuje prenos vírusu v experimentálnych podmienkach. Vaccine 2015, 33, 2493–2499. [CrossRef]
33. Bouma, A.; De Smit, AJ; De Jong, MCM; De Kluijver, EP; Moormann, RJM Stanovenie nástupu imunity stáda indukovanej E2 podjednotkovou vakcínou proti vírusu klasického moru ošípaných. Vaccine 2000, 18, 1374-1381. [CrossRef]
34. De Smit, AJ; Bouma, A.; Van Gennip, HGP; De Kluijver, EP; Chimérické (markerové) vírusy C-kmeňa Moormann, RJM indukujú klinickú ochranu proti virulentnému vírusu klasického moru ošípaných (CSFV) a znižujú prenos CSFV medzi očkovanými ošípanými. Vaccine 2001, 19, 1467-1476. [CrossRef] [PubMed]
35. Van Nes, A.; Stegeman, JA; De Jong, MCM; Loeffen, WLA; Kimman, TG; Verheijden, JHM Žiadne veľké ohniská vírusu pseudobesnoty v dobre imunizovaných stádach prasníc. Vaccine 1996, 14, 1042-1044. [CrossRef] [PubMed]
36. Shrestha, NK; Burke, PC; Nowacki, AS; Terpeluk, P.; Gordon, SM Nevyhnutnosť očkovania proti koronavírusovej chorobe 2019 (COVID-19) u osôb, ktoré už COVID mali-19. Clin. Infikovať. Dis. 2022, 75, e662–e671. [CrossRef] [PubMed]
37. Gómez-Villamandos, JC; Ruiz-Villamor, E.; Bautista, MJ; Sánchez, CP; Sánchez-Cordón, PJ; Salguero, FJ; Jover, A. Morfologické a imunohistochemické zmeny v makrofágoch sleziny ošípaných infikovaných klasickým morom ošípaných. J. Comp. Pathol. 2001, 125, 98-109. [CrossRef]
38. Sánchez-Cordón, PJ; Romanini, S.; Salguero, FJ; Ruiz-Villamor, E.; Carrasco, L.; Gómez-Villamandos, JC Histopatologická, imunohistochemická a ultraštrukturálna štúdia čreva u ošípaných očkovaných vírusom klasického moru ošípaných. Vet. Pathol. 2003, 40, 254-262. [CrossRef]
39. Sah, V.; Kumar, A.; Dhar, P.; Upmanyu, V.; Tiwari, AK; Wani, SA; Sahu, AR; Kumar, A.; Badasara, SK; Pandey, A.; a kol. Podpis génovej expresie v celom genóme v makrofágoch infikovaných vírusom klasického moru ošípaných a PBMC pôvodných krížených ošípaných vis-a-vis. Gene 2020, 731, 144356. [CrossRef]
40. Coronado, L.; Bohórquez, JA; Muñoz-González, S.; Perez, LJ; Rosell, R.; Fonseca, O.; Delgado, L.; Perera, CL; Frías, MT; Ganges, L. Vyšetrovanie chronických a pretrvávajúcich infekcií klasického moru ošípaných v terénnych podmienkach a ich vplyv na účinnosť vakcíny. BMC Vet. Res. 2019, 15, 247. [CrossRef]
41. Rivera-Toledo, E.; Gómez, B. Perzistencia respiračného syncyciálneho vírusu v makrofágoch mení profil expresie bunkových génov. Vírusy 2012, 4, 3270–3280. [CrossRef]
42. Kruize, Z.; Kootstra, NA Úloha makrofágov v pretrvávaní a patogenéze HIV-1. Predné. Microbiol. 2019, 10, 2828. [CrossRef]
43. Borca, MV; Gudmundsdottir, I.; Fernandez-Sainz, IJ; Holinka, LG; Risatti, GR Vzory expresie bunkových génov v makrofágoch ošípaných infikovaných vysoko virulentným kmeňom vírusu klasického moru ošípaných Brescia. Virus Res. 2008, 138, 89–96. [CrossRef]
